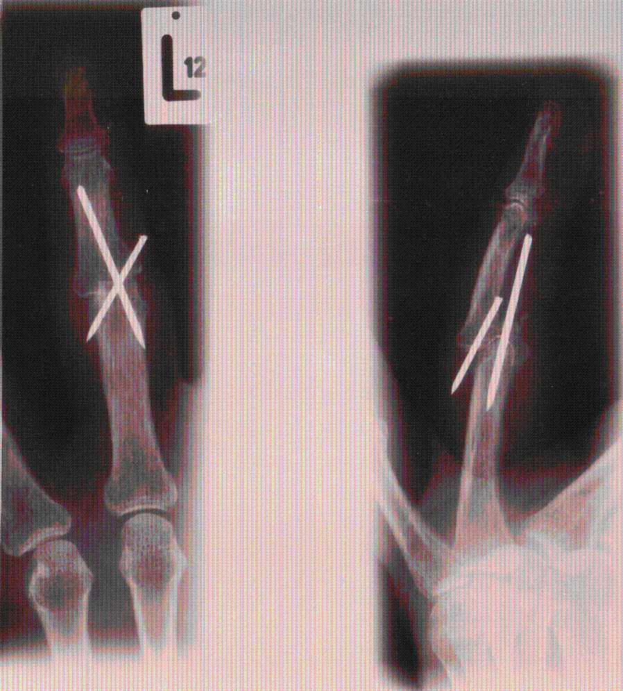
Fingerfraktur
Die Unfallröntgenaufnahme zeigt eine Mittelgliedbasisfraktur des 4. Finger links mit Luxation des Hauptfragmentes und seiner Gelenkfläche nach dorsal
2. Behandlung des Patienten/der Patientin
Operation - offene Reposition und 2-fach gekreuzte K-Drahtung
3. Behadlungsfehler
Die operative Versorgung entsprach nicht den anerkannten Standards der Unfallchirurgie. Die Fraktur und die Luxation im Gelenk wurden nicht beseitigt, die Fragmente nicht exakt fixiert, es wurde auch keine suffiziente temporäre Arthrodese (operative Gelenkversteifung) ausgeführt. Die Kirschnerdrähte waren deutlich überstehend und konnten deshalb zu Reizungen im umliegenden Gewebe und zur Fast-Perforation der Haut führen.
Folge der fehlerhaften Behandlung waren ein deutlich verlängerter Behandlungsverlauf und die Notwendigkeit einer Gelenkversteifungs-Operation. Bei exakter und korrekter und auch zeitnaher Operation wäre eine Ausheilung mit guter Handfunktion möglich gewesen.
